Before and After - Our Smile Gallery
We take the time necessary to deliver the truly exceptional results of the lasting and flawless smile that you have always dreamed of. All of Dr. Vineet's patients have beautiful, natural-looking smiles that she has created using a variety of services, such as smile design, cosmetic dentistry, orthodontics, and implants. This gallery of photos shows some of the beautiful new smiles that she has worked on. Dr. Vineet Sud is committed to excellence and she is changing lives through smiles. Aesthetic dentistry boosts confidence and affects personality. Contact us to schedule a consultation with Dr. Vineet Sud.
Porcelain Veneers Case Studies
|
 Porcelain Dental Veneers
|
 Metal Free Crowns and Porcelain Veneers
|
 Porcelain Dental Veneers
|
|
 Dental Porcelain Veneers
|
 Zirconia Crowns and IPS Veneers
|
 Porcelain Dental Veneers
|
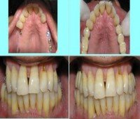
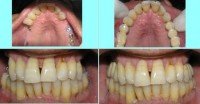
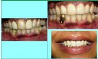
Dental Implants Case Studies
|
 Nobel Biocare Dental Implants
|
 Dental Implants for Missing Teeth
|
 Dental Implants for Missing Teeth
|
|
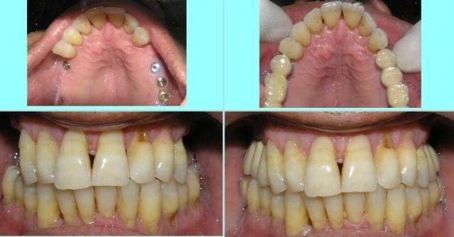
 Implant Hybrid Dentures with computer guided All-on-6 technique with Nobel Biocare
|
 Implant Hybrid Dentures
|
 Nobel Biocare Dental Implants
|
Orthodontics (Braces) Case Studies
|
 Orthodontics
|
 Orthodontics
|
 Orthodontics
|
|
 Orthodontics
|
|
|
Metal Free Crowns/ Porcelain Crowns Case Studies
|
 Replacement of Conventional Porcelain Metal Crowns with IPS Empress Crowns
|
 Metal Free Porcelain Crowns
|
 Metal Free Porcelain Crowns
|
|
 Metal Free Porcelain Crowns
|
 IPS e.max Crowns
|
 Dental Porcelain Crowns
|
smile gallery
Before and After- Our Smile Gallery
We take the time necessary to deliver the truly exceptional results of the lasting and flawless smile that you have always dreamed of. All of Dr. Vineet Sud
Learn more |
about us
World Class dental services with savings
We
are a leading dental care centre of Himachal Pradesh providing world class dental treatment in here. We are pioneers in dental tourism in India.
Learn more |
dental tourism
Wanna make your dental treatment a fun?
Dental tourism is a concept in which a dental patient travels from one place to other to seek a good and economical dental treatment. Most of the times patients travel
Learn more | |