Leading Dental Tourism in Himachal Pradesh with Quality, Technology & Care - Dental Implants, Smile Design and Cosmetic Dentistry
Kullu Dental Clinic - "Crown & Bridge"

 
 

Dental Inplants

Dental Implants are artificial tooth roots that replace the roots of missing natural teeth. They are used to support crowns, bridges or dentures. Implants are placed in your jawbone by Implantologist like Dr Vineet Sud through a surgical procedure. Most of the time, implants give a more natural feel than other methods of replacing missing teeth, such as dentures and dental bridges.

The Dental Implants have a clear advantage over conventional crown and bridges, in the sense that they do not rely on the neighbouring tooth for support and hence the healthy neighbouring teeth are not prepared by dental drill. Thus the integrity of existing natural teeth is maintained as before.

There are many reasons it's important to replace missing teeth:

  • Having all of your teeth makes you more self-confident. You don't worry that people notice that you have teeth missing.
  • When teeth are lost, the area of the jawbone that held those teeth starts to erode. Over time, you can lose so much bone that without a bone graft to build up your jawbone, you cannot get implants or a denture for your missing teeth.
  • Tooth loss affects how well you chew and what foods you are able to eat. Many people who have missing teeth suffer from poor nutrition.
  • The loss of teeth can change your bite, the way your teeth come together. Changes in your bite can lead to problems with your jaw joint.
  • Losing multiple teeth leads to changes in your speech, which affects your self-confidence.
  • Missing teeth means a compromised quality of life.

While the upfront cost for implants can be more than for other types of restorations, the investment pays off in the long run. You may not need an implant for every missing tooth. Your implantologist will discuss how many implants you will need.

Other benefits of implants include:

  • Feel - Because implants are embedded in your bone, they feel more like your natural teeth than bridges or dentures.
  • Convenience - You will not need to worry about your dentures slipping, clicking or falling out when you speak. You can forget about denture adhesives.
  • Nutrition - You will be able to chew better with implants. Chewing is most of times difficult with regular dentures, especially ones with imperfect fit. A regular upper denture also covers your palate, which can reduce your sense of taste.
  • Self-esteem - Because implants are so much like your natural teeth, you will think less about them. Your self-esteem and confidence will improve because you will not have to worry about denture problems or people noticing that you have missing teeth. Regular dentures also can affect your speech, which can make you less self-confident when talking with others.

Are Dental Implants for You?

Who is a candidate for dental implants? 
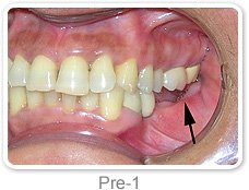
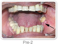
If you're missing one tooth or all of your teeth, implants may well be for you. So long as you have enough bone in the area of the missing tooth to facilitate the anchorage of the implants, this procedure will yield terrific results. If you don't have enough bone for this purpose, a bone graft may be necessary. If you have a small dental bridge or partial dentures (removable type), implants are a welcome alternative. Implants are an alternative to a fixed bridge. The implant will last a lifetime, but the crown on top of it will last ten to fifteen years. 

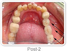
Multiple implant supported back teeth




Caption here




Overview of Dental Implants
Implants are surgically placed in your jaw bone while under anesthesia. It is not a very time consuming procedure, except when having many implants placed. At our clinic. implant surgery is like having a tooth removed. The amount of pain and discomfort caused here, during implant surgery is minimal. You may take rest on the day of surgery, if you like. You can start normal activity from next day. Our patients inform us that they experienced much less discomfort than they had anticipated.

How are Dental Implants Attached in Your Mouth?
The implant procedure is a surgical placement of the implant or implants in your jaw bone which requires a three to six month healing period before the implant restoration (crown) will be placed. During this healing time, the bone grows in and around the titanium implant creating a very strong support. The rejection or "failure" rate is minimal, only 1 to 2% of all implant procedures. After the implant has "taken" and you have sufficiently healed, a very natural crown is placed on the implant.

When missing front single tooth, you may sometimes be given a temporary tooth to fill the space till the implant have healed.

So long as you have enough bone in the area of the missing tooth to facilitate the anchorage of the implants, this procedure can yield terrific results. If you don't have enough bone for this purpose, a bone graft may be necessary. A procedure of building up the bone is known as Bone Grafting. Bone grafting is common with dental implants. Nowadays artificial bone is available. Bone can be collected from other areas of the mouth also.

Advantages of Dental Implants
As our life span increases, permanent dental replacements like implants are increasingly important as we get older. While dentures and removable bridges are usually loose and unstable, implants provide you with dental replacements that are both natural looking and very functional. Implants look much better, and feel better, than traditional removable bridges, and offer the same force for biting as bridges that are fixed in place. Implants will last your lifetime.

smile gallery 
Before and After- Our Smile Gallery

We take the time necessary to deliver the truly exceptional results of the lasting and flawless smile that you have always dreamed of. All of Dr. Vineet Sud

Learn more

about us
World Class dental services with savings

We are a leading dental care centre of Himachal Pradesh providing world class dental treatment in here. We are pioneers in dental tourism in India.

Learn more

dental tourism
Wanna make your dental treatment a fun?

Dental tourism is a concept in which a dental patient travels from one place to other to seek a good and economical dental treatment. Most of the times patients travel

Learn more

Site Developed By:  Digit-ex Multimedia